-
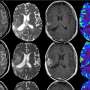
Blocking energy metabolism may help treat an aggressive pediatric brain tumor
Blocking energy production pathways in an aggressive type of brain cancer in children could be a promising new therapeutic strategy,... Read more -
Cervical cancer: Study reveals a growing gap between high- and low-income countries
While high-income countries like Canada could eliminate cervical cancer by 2048 through human papillomavirus (HPV) vaccination and screening, the gap... Read more -
T cells secrete DNA to boost the immune system's cancer-fighting ability
Activated immune cells secrete tiny capsules bearing DNA that can enter other immune and tumor cells to stimulate the body's... Read more -
How melatonin could improve fertility-preserving ovarian transplants after cancer treatment
Administering melatonin via an absorbable sponge improved the effectiveness of autologous ovarian tissue transplantation. This procedure is used to preserve... Read more -
Restoring protein recycling helps exhausted T cells fight tumors again
T cells are crucial components of our immune system, serving as critical protectors against infection and disease. But there are... Read more -
Multiple myeloma linked to higher risk for hematologic second cancers
Patients with multiple myeloma (MM) have a distinct pattern of second primary malignancy (SPM), with a markedly increased risk of... Read more -
Caregivers of ovarian cancer patients face high stress and major gaps in support
A new scoping review from the University of Toronto reveals that caregivers of loved ones with ovarian cancer face significant... Read more -
Genetic discovery may explain why pancreatic cancer is so difficult to treat
Pancreatic cancer can remain quiet for years, developing undetected before causing symptoms that lead to a diagnosis. Even after a... Read more -
Gentler blood cancer treatment could boost survival and quality of life
A gentler treatment for children whose leukemia has come back could boost survival and quality of life, a study led... Read more -
Why this CAR T advance matters: Complete remissions without chemotherapy at doses as low as 250,000 cells/kg
Stem-cell memory T (TSCM) cells are a rare subset of immune cells with the ability to self-renew, persist long term,... Read more -
Targeted maternal screening could prevent rare, deadly leukemia in the US
A deadly form of leukemia may be stopped before it ever develops by introducing targeted maternal screening in the United... Read more -
Revealing the unusual ability of a protein involved in lung and thyroid cancer
Research conducted at the National Cancer Research Centre (CNIO) has revealed an unexpected behavior observed in a protein involved in... Read more -
Tumor-on-a-chip reveals how pancreatic cancer interacts with scar tissue and resists treatment
Pancreatic cancer remains one of the most difficult cancers to treat, in large part because tumors do not exist in... Read more -
Why CAR T therapy works for some patients but fails for others may be getting clearer
Chimeric antigen receptor (CAR) T-cell therapy is one of oncology's most powerful ideas: Harvest a cancer patient's own immune cells,... Read more -
A natural molecule boosts CAR-T therapy and turns cold tumors hot
CAR-T cell therapy works well in blood cancers, but many patients still become resistant. A key reason is the presence... Read more
